Accessible Version
Parks Family Dental

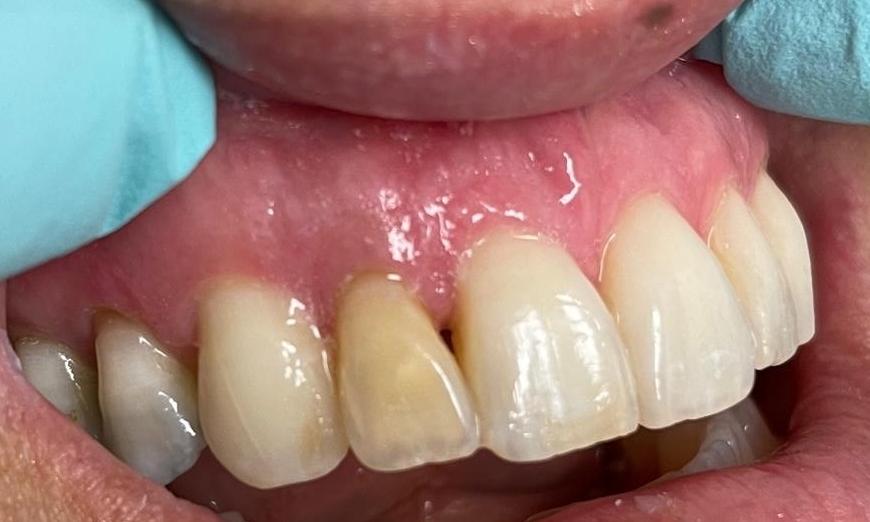
Ceramic Crown

In this case, the patient's tooth #7 had a previous root canal and was darker and did not match the adjacent teeth.  A full coverage all ceramic crown was used to cover the tooth and match the shade to the adjacent teeth

Related Services:

All-Ceramic Crowns and Bridges
Improve your smile today – call to schedule a consultation!
If you have difficulty using our website, please email us or call us at (864) 288-4515
View the ADA Accessibility Statement